- Case Report
- Open Access
- Published:
Clinical and immunologic characteristics of Japanese patients with anti-glomerular basement membrane disease: case reports and literature review
Renal Replacement Therapy volume 7, Article number: 1 (2021)
Abstract
Background
Clinical studies of anti-glomerular basement membrane (GBM) disease were limited because of the low incidence. We aimed to report the characteristics, treatments, and outcomes of patients with anti-GBM disease at a tertiary reference medical center in Japan and review the literature of mortality in patients with anti-GBM disease.
Case presentation
Case 1 was a 72-year-old Japanese man that was referred with worsening of the serum creatinine (from 1.1 to 27.3 mg/dL). Anti-GBM disease was confirmed by renal biopsy, and treatments with oral prednisolone and plasmapheresis were initiated. Although his anti-GBM antibody decreased (from 476 to 18 units/mL) after the treatments, the patient died from lung abscess. Case 2 was a 32-year-old Japanese man that presented with fever and macroscopic hematuria. At presentation, his serum creatinine was 4.2 mg/dL, and anti-GBM antibody was 265 units/mL. Renal biopsy confirmed the diagnosis of anti-GBM disease, and intensive treatments with plasmapheresis and methyl prednisolone were started, followed by oral prednisolone. Living-donor kidney transplantation was performed because his anti-GBM antibody had remained undetectable for 1 year after diagnosis. In the main text, clinicopathological characteristics of 12 patients with anti-GBM disease at our institution were summarized.
Conclusions
We found that the 1-year survival rate of patients with anti-GBM disease was 88% in our cohort, which was comparable to previous studies. Multicenter, nationwide studies are expected to evaluate prognosis of Japanese patients with this rare entity.
Background
Anti-glomerular basement membrane (GBM) disease is a type of small vessel vasculitis, involving glomerular capillaries, pulmonary capillaries, or both, and presents with anti-GBM autoantibody deposition along the GBM [1]. The outcome of anti-GBM disease has improved with intensive treatment with plasmapheresis, glucocorticoids, and/or immunosuppressive therapy; however, > 60% of patients with anti-GBM disease progress to end-stage renal disease (ESRD), still reaching a mortality rate of approximately 25% at 1 year after diagnosis [2, 3]. Although a retrospective study in China reported that the combination of plasmapheresis and corticosteroids had a favorable effect on both patient survival and renal survival (defined as the time from onset to ESRD) [2], few reports have described the clinical course, treatment, and outcomes of Japanese patients with anti-GBM disease [4, 5]. Here, we report two patients with anti-GBM disease who had distinct clinical courses. In addition, we summarized the clinicopathological findings of 12 patients with anti-GBM disease at our institution and reviewed the literature of mortality in this population.
Case presentation
Case 1
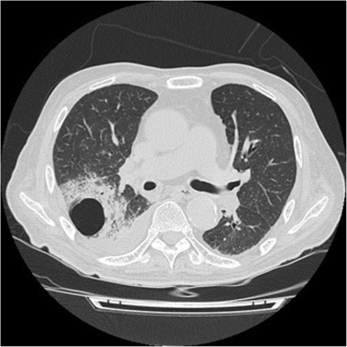
A 72-year-old Japanese man with hypertension and chronic kidney disease due to type 2 diabetes mellitus was referred to our medical center with worsening of the serum creatinine (sCr) level for 2 weeks. He had a baseline sCr of 1.1 mg/dL. The patient never smoked or had no family history of kidney or rheumatic disease. On examination, his respiratory rate was 24 breaths per minute, his heart rate was 73 bpm, his blood pressure was 125/64 mmHg, he had a saturation of 83% in room air, and his body temperature was 38.6 °C. Physical examination was remarkable for labored breathing using respiratory accessory muscles, bilateral coarse crackles, and pretibial pitting edema. There was no rash or purpuric skin lesion. Notable laboratory findings included severe anemia (hemoglobin level, 5.9 g/dL) and a markedly decreased kidney function (blood urea nitrogen (BUN), 182 mg/dL; sCr, 27.3 mg/dL; estimated glomerular filtration rate (eGFR) [6], 1 ml/min/1.73 m2). The immunoglobulin (Ig) levels were normal (IgM, 80 mg/dL; IgA, 196 mg/dL), except for elevation of IgG (1958 mg/dL). Urinalysis showed proteinuria (4.8 g/gCr) with microscopic hematuria (> 100 erythrocytes per high-power field) and a few red blood cell casts. Plain computed tomography showed bilateral pleural effusion and normal-sized kidneys. Antinuclear antibodies and proteinase 3 (PR3) and myeloperoxidase (MPO) antineutrophil cytoplasm antibodies (ANCA) were negative. Anti-GBM antibody was 476 units/mL. PR3-ANCA, MPO-ANCA, and anti-GBM antibody were measured using enzyme-linked immunosorbent assay method. Anti-GBM disease was confirmed by renal biopsy, which showed 10 glomeruli, seven of them had cellular crescent formation (Fig. 1) and three had global sclerosis. A moderate interstitial infiltration composed of monocytes and neutrophils was observed. Immunofluorescence microscopy showed linear staining for IgG along with the GBM (Fig. 2). Along with oral prednisolone (40 mg/day), double-filtration plasmapheresis (DFPP) using human albumin (5%) as the replacement material was initiated. The patient’s anti-GBM antibody decreased from 476 to 18 units/mL with twelve sessions of DFPP, but he underwent hemodialysis because his renal function did not recover. One month after completion of DFPP, however, the patient died from lung abscess (Fig. 3) caused by Pseudomonas aeruginosa.
Case 2
A 32-year-old Japanese man, current smoker, presented with a 3-week history of fever with rigor and macroscopic hematuria. He denied hemoptysis, skin rash, or joint pain. Physical examination revealed his respiratory rate was 16 breaths per minute, his heart rate was 108 bpm, his blood pressure was 108/58 mmHg, and his body temperature was 39.0 °C. Other physical examinations were unremarkable. Laboratory tests showed mild anemia (hemoglobin level, 10.9 g/dL) and a moderately decreased kidney function (BUN, 35 mg/dL; sCr, 4.2 mg/dL; eGFR [6], 14 ml/min/1.73 m2). IgG was elevated (1110 mg/dL), but other immunoglobulin levels were normal (IgM, 68 mg/dL; IgA, 113 mg/dL). Antinuclear antibodies, PR3-ANCA and MPO-ANCA, using enzyme-linked immunosorbent assay method were negative. Urinalysis showed proteinuria (0.9 g/gCr) with microscopic hematuria (> 100 erythrocytes per high-power field). Plain computed tomography showed normal-sized kidneys and no alveolar hemorrhage. Anti-GBM antibody was 265 units/mL (enzyme-linked immunosorbent assay). Renal biopsy showed 12 glomeruli; all of them had cellular crescent formation (Fig. 4) and had no global sclerosis. Immunofluorescence microscopy showed linear staining for IgG along with the GBM (Fig. 5). Intravenous infusion of methyl prednisolone (500 mg/day for three consecutive days) followed by oral prednisolone (50 mg/day) was started. After completion of 20 sessions of DFPP using human albumin (5%), his anti-GBM antibody became undetectable. However, the patient’s kidney function did not recover, and he underwent hemodialysis. One year after the initial diagnosis, the patient’s anti-GBM antibody remained undetectable, and thus, he received living-donor kidney transplantation without recurrence of anti-GBM disease or other complications.
Discussion and conclusions
We reported two patients with anti-GBM disease to illustrate their distinct patient outcomes. Table 1 summarizes demographic, clinical, and pathologic characteristics of 12 patients with anti-GBM disease from 2000 to 2020 at our institution. At baseline, the median age was 70 years (interquartile range (IQR), 32–77 years), 18% were women, 45% had diabetes mellitus, and 64% had hypertension. Of the 12 patients, 4 patients (36%) had anuria, 3 (25%) had pulmonary interstitial opacities on computed tomography, and 2 (17%) had a pulmonary hemorrhage. The median level of sCr at presentation was 8.5 mg/dL (IQR, 5.2–11.4 mg/dL), and the median eGFR was 5 mL/min/1.73 m2 (IQR, 3–8 mL/min/1.73 m2). The median level of anti-GBM antibody level was 214 international unit (IU)/mL (IQR, 43–16385 IU/mL). ANCA positivity was shown in 3 patients (25%), with PR3-ANCA in 1 and MPO-ANCA in 2. Renal biopsy was performed in all 12 patients with the following results: global sclerosis in 6 (50%); crescent formation in 12 (100%); glomerular necrosis in 10 (83%); and interstitial inflammation in 12 (100%). A total of 8 patients (67%) received plasmapheresis with a total number of administrations between 6 and 20. All patients received oral corticosteroids with median initial doses of 40 mg/day (IQR, 40–60 mg/day), whereas 10 patients (91%) received steroid pulse therapy (methyl prednisolone 500 mg/day for three consecutive days), with the total number of steroid pulse courses between 1 and 3. During the median follow-up period of 2.7 years (IQR, 0.4–8.2 years), 4 patients died, all patients progressed to ESRD, and one of these patients received living-donor kidney transplantation (Fig. 6).
This study discusses three clinical observations. First, prior studies have reported the survival rates of patients with anti-GBM disease, ranging from 80 to 95% at 1-year after diagnosis and 24–92% at 5-year after diagnosis, respectively (Table 2) [2,3,4,5, 7,8,9,10,11,12,13,14,15,16]. Our cohort had a similar 1-year survival rate, but a poorer 5-year survival rate than previous studies even with the intensive immunosuppressive treatments and plasmapheresis. The reasons remain uncertain, but one possible explanation may be related to the fact that we had older patients: The median age (70 years) in our cohort was relatively higher than that in other reports [2,3,4,5, 7,8,9,10,11,12,13,14,15,16]. Indeed, several studies demonstrated that older age at diagnosis was associated with a higher patient mortality [11, 12, 14, 15]. Another possibility may be related to the inclusion of more severe cases in our cohort: The baseline sCr levels (8.5 mg/dL) and all patients utilized renal replacement therapy. McAddo et al. [14] showed that renal replacement therapy at presentation predicted mortality in patients with anti-GBM disease. Of note, an epidemiological study in Australia and New Zealand reported that patients with anti-GBM disease had comparable survival on dialysis compared to that with other causes of ESRD [17]. To evaluate prognosis in Japanese dialysis patients with anti-GBM disease, large-scale nationwide studies are required.
Second, the Kidney Disease: Improving Global Outcomes guidelines [18] do not strongly recommend intensive treatments, including plasma exchange, corticosteroids, and cyclophosphamide, in patients with anti-GBM disease if they presented with dialysis dependency, had no lung hemorrhage, and had 100% cellular crescents in the renal biopsy, which was based on the results of previous studies [7, 11]. A recent study demonstrated that low percentage of normal glomeruli and large extent of interstitial infiltrate were associated with poorer renal survival in patients with anti-GBM disease [19]. Indeed, renal survival of our cohort was very poor. One of the reasons may be related to the fact that no patient had normal glomeruli, whereas all patients had crescents and interstitial inflammation in our cohort.
Third, previous studies recommended performing plasmapheresis until aGBM levels become undetectable or are at least close to the lower limit of detection; however, these recommendations are supported only by expert opinion [3, 20]. Additionally, prior studies demonstrated that the combination of plasmapheresis, corticosteroids, and/or cyclophosphamide yielded a better patient survival versus treatment without plasmapheresis; however, these studies did not investigate the association between post-treatment anti-GBM levels and patient outcomes [20, 21]. In our cohort, 67% of patients became negative for anti-GBM levels after treatment, which was a higher percentage than that in a previous report (52%) [2]. The reasons for this discrepancy remain uncertain, although the finding may be due to the lower proportion of patients with a pulmonary hemorrhage in the current study versus the previous report [2] (45% vs. 17%).
This case series has several limitations. The largest and most apparent is the small sample size and data from a single center; therefore, the study results should be interpreted with caution. The small sample size also did not allow us to perform statistical analyses for the patient outcomes. Second, DFPP was performed for all patients because a recent study reported that anti-GBM patients with DFPP had similar patient and renal survival to those with immunoadsorption [21, 22]. Finally, the results of our study cannot be directly compared with those in the previous studies because the measurement methods of MPO-ANCA, PR3-ANCA, and anti-GBM antibody varied among studies.
In conclusion, we report two cases of anti-GBM disease who had different patient outcomes and summarize clinicopathological characteristics and survival of patients with anti-GBM disease at our medical center. Larger studies would be ideal, but may be difficult to conduct because anti-GBM disease is a rare disease, which has an estimated incidence between 0.5 and 1.6 case per million per year [1]. In this context, we believe that, despite the limited sample size, this work may add to the literature by presenting detailed clinicopathological characteristics and outcomes in Japanese patients with anti-GBM disease.
Availability of data and materials
The datasets used and/or analyzed during the current study are available from the corresponding author on reasonable request.
Abbreviations
- ANCA:
-
Antineutrophil cytoplasmic antibody
- BUN:
-
Blood urea nitrogen
- DFPP:
-
Double-filtration plasmapheresis
- eGFR:
-
Estimated glomerular filtration rate
- ESRD:
-
End-stage renal disease
- GBM:
-
Anti-glomerular basement membrane
- IQR:
-
Interquartile range
- Ig:
-
Immunoglobulin
- IU:
-
International unit
- MPO-ANCA:
-
Myeloperoxidase-antineutrophil cytoplasmic antibody
- PR3-ANCA:
-
Proteinase 3-antineutrophil cytoplasmic antibody
- sCr:
-
Serum creatinine
References
- 1.
Jennette JC, Falk RJ, Bacon PA, Basu N, Cid MC, Ferrario F, et al. 2012 revised International Chapel Hill Consensus Conference Nomenclature of Vasculitides. Arthritis Rheum. 2013;65:1–11.
- 2.
Cui Z, Zhao J, Jia X, Zhu S, Jin Q, Cheng X, et al. Anti-glomerular basement membrane disease: outcomes of different therapeutic regimens in a large single-center Chinese cohort study. Medicine (Baltimore). 2011;90:303–11.
- 3.
Segelmark M, Hellmark T. Anti-glomerular basement membrane disease: an update on subgroups, pathogenesis, and therapies. Nephrol Dial Transplant. 2019;34:1826–32.
- 4.
Kitagawa W, Imai H, Komatsuda A, Maki N, Wakui H, Hiki Y, et al. The HLD-DRB1*1501 allele is prevalent among Japanese patients with anti-glomerular basement membrane antibody-mediated disease. Nephrol Dial Transplant. 2008;23:3126–9.
- 5.
Hirayama K, Yamagata K, Kobayashi M, Koyama A. Anti-glomerular basement membrane antibody disease in Japan: part of the nationwide rapidly progressive glomerulonephritis survey in Japan. Clin Exp Nephrol. 2008;12:339–47.
- 6.
Matsuo S, Imai E, Horio M, Yasuda Y, Tomita K, Nitta K, et al. Revised equations for estimated GFR from serum creatinine in Japan. Am J Kidney Dis. 2009;53:982–92.
- 7.
Levy JB, Turner AN, Rees AJ, Pusey CD. Long-term outcome of anti-glomerular basement membrane antibody disease treated with plasma exchange and immunosuppression. Ann Intern Med. 2001;134:1033–42.
- 8.
Li FK, Tse KC, Lam MF, Yip TPS, Lui SL, Chan GSW, et al. Incidence and outcome of antiglomerular basement disease in China. Nephrology (Carlton). 2004;9:100–4.
- 9.
Rutgers A, Slot M, van Paassen P, van Breda VP, Heeringa P, et al. Coexistence of anti-glomerular basement membrane antibodies and myeloperoxidase-ANCAs in crescentic glomerulonephritis. Am J Kidney Dis. 2005;46:253–62.
- 10.
Dammacco F, Battaglia S, Gesualdo L, Racanelli V. Goodpasture’s disease: a report of ten cases and review of the literature. Autoimmun Rev. 2013;12:1101–8.
- 11.
Alchi B, Griffiths M, Sivalingam M, Jayne D, Farrington K. Predictors of renal and patient outcomes in anti-GBM disease: clinicopathologic analysis of two-centre cohort. Nephrol Dial Transplant. 2015;30:814–21.
- 12.
Huart A, Josse AG, Chauveau D, Korach JM, Heshmati F, Bauvin E, et al. Outcomes of patients with Goodpasture syndrome: a nationwide cohort-based study from the French Society of Hemapheresis. Journal of Autoimmun. 2016;73:24–9.
- 13.
Canney M, O’Hara PV, McEvoy CM, Medani S, Cnnaughton DM, et al. Spatial and temporal clustering of anti-glomerular basement membrane disease. Clin J Am Soc Nephrol. 2016;11:1392–9.
- 14.
McAddo SP, Tanna A, Hrušková Z, Holm L, Weiner M, Arulkumaran N, et al. Patient double-seropositive for ANCA and anti-GBM antibodies have varied renal survival, frequency of relapse, and outcomes compared to single-seropositive patients. Kidney Int. 2017;92:693–702.
- 15.
Marques C, Carvelli J, Biard L, Faguer S, Provŏt F, Matignon M, et al. Prognostic factors in anti-glomerular basement membrane disease: multicenter study of 119 patients. Front Immunol. 2019;10:1665.
- 16.
Caillard P, Vigneau C, Halimi JM, Hazzan M, Thervet E, Heitz M, et al. Severe infection in anti-glomerular basement membrane disease: a retrospective multicenter French study. J Clin Med. 2020;9:698.
- 17.
Tang W, McDonald SP, Hawley CM, Badve SV, Boudville NS, Brown FG, et al. Anti-glomerular basement membrane antibody disease is an uncommon cause of end-stage renal disease. Kidney Int. 2013;83:503–10.
- 18.
Kidney Disease: Improving Global Outcomes (KDIGO) Glomerulonephritis Work Group: Clinical practice guideline for glomerulonephritis. Anti-glomerular basement membrane antibody glomerulonephritis. Kidney Int Suppl. 2012;2:240–242.
- 19.
van Daalen EE, Jennette JC, McAdoo SP, Pusey CD, Alba MA, Poulton CJ, et al. Predicting outcome in patients with anti-GBM glomerulonephritis. Clin J Am Soc Nephrol. 2018;13:63–72.
- 20.
Sanchez AP, Ward DM. Therapeutic apheresis for renal disorders. Semin Dial. 2012;25:119–31.
- 21.
Williams ME, Balogun RA. Principles of separation: indications and therapeutic targets for plasma exchange. Clin J Am Soc Nephrol. 2014;9:181–90.
- 22.
Zhang Y, Tang Z, Chen D, Gong D, Ji D, Liu Z. Comparison of double filtration plasmapheresis with immunoadsorption therapy in patients with anti-glomerular basement membrane nephritis. BMC Nephrol. 2014;15:218.
Acknowledgements
We would like to thank Enago for English language editing.
Author information
Affiliations
Contributions
YS designed the study; collected, analyzed, and interpreted the data; and drafted the manuscript. YS collected and interpreted the data and critically revised the manuscript. HT designed the protocol, collected and interpreted the data, and critically revised the manuscript. KA, TM, and YO contributed to the data collection. All authors read and approved the final manuscript.
Corresponding author
Ethics declarations
Ethics approval and consent to participate
This study was approved by the Internal Review Board of the Teine Keijinkai Medical Center (IRB Approval No. 2-019071-10) and was carried out in accordance with the Declaration of Helsinki. Informed consent was individually obtained from all participants included in the study.
Consent for publication
All co-authors approved this submission. The patients consented to publish their information details.
Competing interests
This research did not receive any specific funding from grant agencies.
Additional information
Publisher’s Note
Springer Nature remains neutral with regard to jurisdictional claims in published maps and institutional affiliations.
Rights and permissions
Open Access This article is licensed under a Creative Commons Attribution 4.0 International License, which permits use, sharing, adaptation, distribution and reproduction in any medium or format, as long as you give appropriate credit to the original author(s) and the source, provide a link to the Creative Commons licence, and indicate if changes were made. The images or other third party material in this article are included in the article's Creative Commons licence, unless indicated otherwise in a credit line to the material. If material is not included in the article's Creative Commons licence and your intended use is not permitted by statutory regulation or exceeds the permitted use, you will need to obtain permission directly from the copyright holder. To view a copy of this licence, visit http://creativecommons.org/licenses/by/4.0/. The Creative Commons Public Domain Dedication waiver (http://creativecommons.org/publicdomain/zero/1.0/) applies to the data made available in this article, unless otherwise stated in a credit line to the data.
About this article
Cite this article
Shimamura, Y., Maeda, T., Abe, K. et al. Clinical and immunologic characteristics of Japanese patients with anti-glomerular basement membrane disease: case reports and literature review. Ren Replace Ther 7, 1 (2021). https://doi.org/10.1186/s41100-021-00317-z
Received:
Accepted:
Published:
Keywords
- Anti-glomerular basement membrane disease
- Literature review
- Survival





