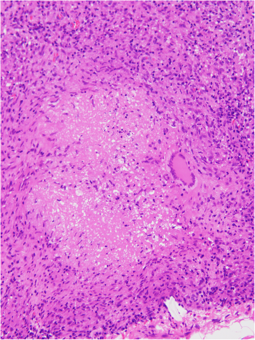
Fig. 3From: Improvement of multiple intraperitoneal nodules resembling peritoneal cancer that developed after peritoneal dialysis-related peritonitis caused by Mycobacterium abscessus with literature review: granuloma or carcinomaThe result of biopsy from the lesion around the external cuffBack to article page